logo togoactualite

Nous sommes News 228, l’info du togo en ligne.

Téléphone: +33 06 14 30 57 86 , +228 99 56 57 88

Email: contact@togoactualite.com

Heures de services: Lundi à Vendredi de 9:30am à 6:30 pm

SANTE

Togo/Pratiques anormales dans les centres hospitaliers : Quand l’argent de certains services facturés prend d’autres directions
Togo/Pratiques anormales dans les centres hospitaliers : Quand l’argent de certains services facturés prend d’autres directions
Selon un médecin, il existe des services effectués par des médecins et autres agents hospitaliers, mais dont les contreparties financières ...
Covid-19 : nouvel assouplissement des mesures à l’aéroport de Lomé
Covid-19 : nouvel assouplissement des mesures à l’aéroport de Lomé
Désormais à l’aéroport de Lomé, les voyageurs détenteurs d’un pass vaccinal valide ne sont plus obligés de faire un test ...
Propagande et gloriole autour de la 72ème session du Comité Régional de l’OMS à Lomé : Un vernis de progrès qui cache mal la décadence sanitaire du Togo
Propagande et gloriole autour de la 72ème session du Comité Régional de l’OMS à Lomé : Un vernis de progrès qui cache mal la décadence sanitaire du Togo
La 72ème session du Comité régional de l’Organisation Mondiale de la Santé (OMS) pour l’Afrique s’est tenue du 22 au ...
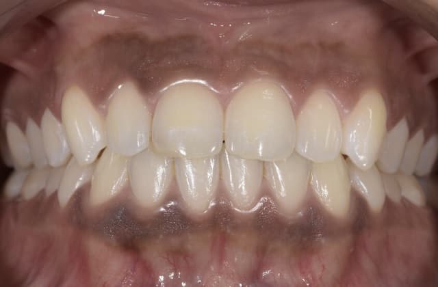
Halte à la dépigmentation des dents !
Halte à la dépigmentation des dents !
Le rêve d’un sourire lumineux, à travers un émail à la blancheur prononcée est de plus en plus vendu. Généralement ...
Covid-19 au Togo : les boites de nuit et assimilées autorisés à rouvrir
Covid-19 au Togo : les boites de nuit et assimilées autorisés à rouvrir
Le gouvernement togolais a décidé de la réouverture des boîtes de nuit et assimilé sur toute l’étendue du territoire national. ...
Togo- L’hôpital PUBLIC et le corps soignant, souvent c’est dégueulasse
Togo- L’hôpital PUBLIC et le corps soignant, souvent c’est dégueulasse
Un hôpital surtout public, c’est pour soigner des malades, ceux qui sont souffrants, désespérés et n’ont pas les moyens des ...